The Woodlands (281) 419-0333

Benders Landing (281) 419-3194

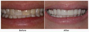
Patient Gallery

Comeaux & Stonestreet Dental Group The Woodlands & Spring

At Comeaux & Stonestreet Dental Group, we take pride in maintaining a high standard of care. Comeaux & Stonestreet Dental Group offers the absolute best in cosmetic dentistry. From porcelain veneers and metal-free crowns to Zoom! laser whitening and cosmetic bonding, just contact us for a consultation to find out how we can give you the perfect smile.

Best of Winner's Circle since 2010

Sign Up for Comeaux & Stonestreet Updates!

Get added to our email list to find out about our seasonalspecials and promotions that will keep you smiling!

Please enter your email address.
Invalid Input